Zahnform, Zahnfarbe, Zahnstellung und das Erscheinungsbild des Zahnfleisches beeinflussen in hohem Maß Ihre Ausstrahlung. Genießen Sie es, herzhaft zu lachen. Ihre schönen weißen Zähne signalisieren Gesundheit und Vitalität!
Wir möchten Ihnen dabei helfen: Oft reicht eine regelmäßige Reinigung und Politur Ihrer Zähne aus. Bei zu dunklen oder gelblichen Zähnen empfehlen wir Ihnen eine Aufhellung (Bleaching).
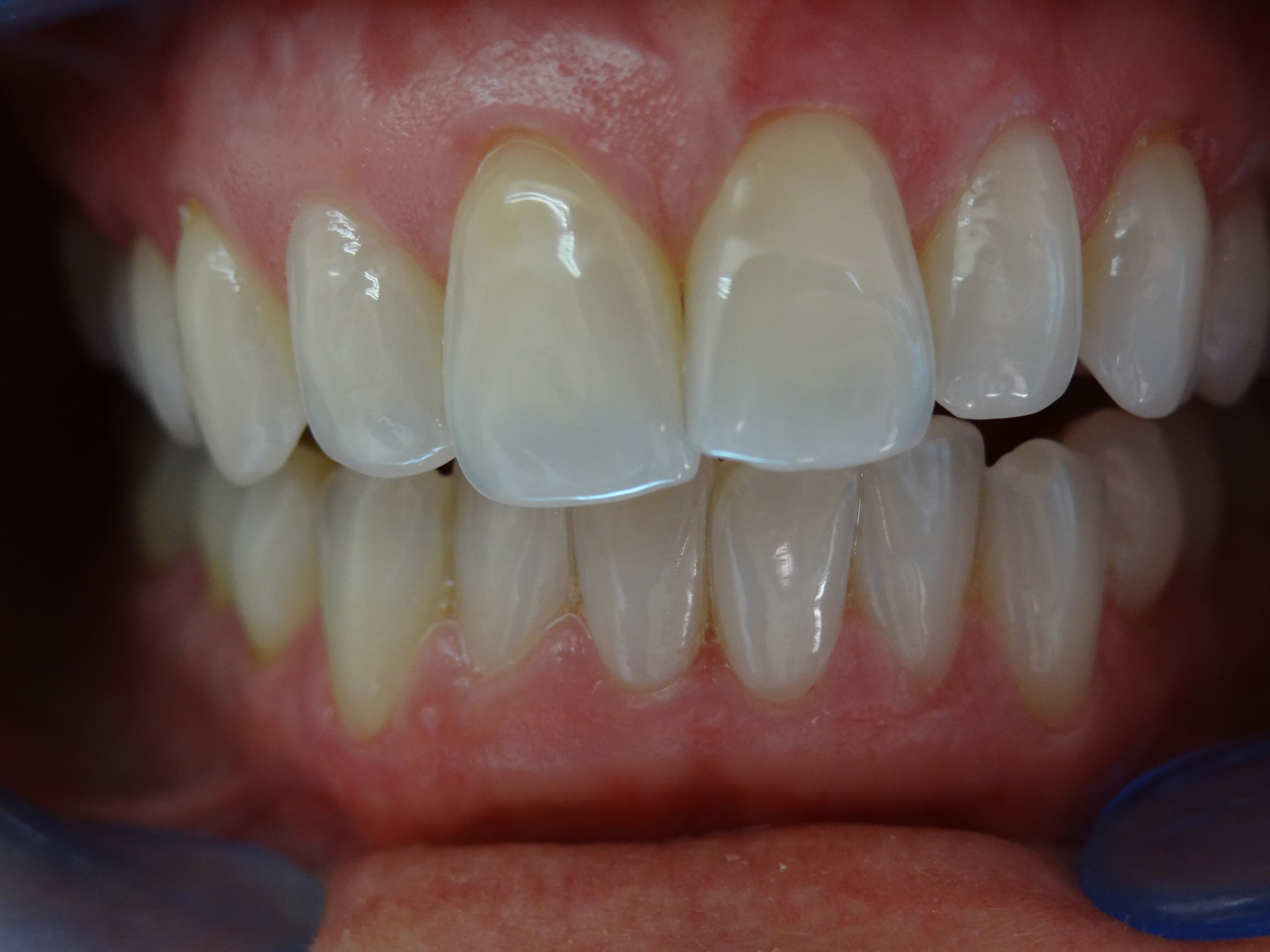
Kleine Zahnfehlstellungen können wir mit modernen Kompositen (Kunststoffe mit Keramikanteilen) korrigieren und Ihre Zahnform harmonisch gestalten, ohne unnötig Zahnsubstanz zu opfern (minimalinvasive Therapie). Müssen größere Zahndefekte versorgt oder gar Lücken geschlossen werden, sind wir heute mit Verblendschalen (Veneers) sowie Kronen und Brücken aus Vollkeramik der Natur dicht auf der Spur! Sie sind vom gesunden Zahn praktisch nicht zu unterscheiden. Die durch die aufwändige Herstellung entstehenden Kosten werden durch ein Höchstmaß an Ästhetik, Funktionalität und Gewebefreundlichkeit aufgewogen.
